لمینت دندان
لمینت دندان در یوسف آباد
دندانهایی زیبا با ظاهر طبیعی یا فانتزی میخواهید؟ لمینت دندان میتواند یک روش مناسب و چاره ساز برای شما باشد.
لمینت یک تکنیک پرطرفدار دندانپزشکی زیبایی برای اصلاح طرح لبخند است و در انواع مختلفی مانند لمینت سرامیکی قابل اجراست. به طور کلی، لمینت یک روش کاربردی برای حل چالشهای دندانی زیر است:
- وجود ناهنجاری دندانی
- لک یا تیرگی روی دندانها
- شکستگی و لب پریدگی دندان
- نامرتب بودن دندانها
- وجود فاصله بین دندانها
به طور خلاصه، لمینت روشی موثر و مفید است که بوسیله آن تمام معایب ظاهری دندان برطرف میشوند. حتما واژه «لمینت دندان» را بارها از افراد مختلف شنیدهاید و میدانید که یک تکنیک پرطرفدار است، اما چرا؟
چرا لمینت سرامیکی پرطرفدار است؟
- با استفاده از روکش لمینت لبخندتان سفید، یکنواخت و منظم میشود.
- ناهنجاریهای فک و بی نظمیهای دندان با لمینت کاملا قابل اصلاح است.
- فواصل بین دندان، لکهها و شکستگیهای دندان با استفاده از تکنیک لمینت رفع میشوند.
- با رعایت نکات بهداشتی و مراقبتی، ماندگاری و طول عمر لمینت تا 15 سال است.
- میتوانید بلافاصله بعد از انجام لمینت، نتیجه آن را به وضوح روی زیبایی دندانهایتان مشاهده کنید.
فرم مشاوره
فرم زیر را پر کنید تا با شما تماس بگیریم
آیا لمینت به دندانها آسیب میزند؟
خیر؛ اگر لمینت دندان بهصورت اصولی و توسط دندانپزشک متخصص انجام شود، یکی از کمتهاجمیترین و محافظهکارانهترین روشهای زیبایی دندان محسوب میشود. لمینتهای سرامیکی تنها روی سطح جلویی دندان قرار میگیرند و برخلاف روکشهای کامل، نیازی به تراش گسترده دندان ندارند؛ بهطوریکه در برخی شرایط حتی بدون تراش نیز قابل اجرا هستند.
از آنجایی که لمینت به لایه مینای دندان متصل میشود و سایر سطوح دندان کاملاً حفظ میگردند، احتمال بروز آسیب، ضعف ساختاری یا حساسیت دندانی بسیار پایین است. در مقایسه با روکشها، لمینتها نهتنها بافت سالم دندان را بیشتر حفظ میکنند، بلکه باعث حساسیت طولانیمدت نیز نمیشوند.
لمینتهای سرامیکی همچنین مقاومت بالایی در برابر سایش، شکستگی و تغییر رنگ دارند و در صورت رعایت اصول بهداشت دهان و مراقبتهای صحیح، میتوانند سالها بدون آسیب به دندانها باقی بمانند. به دلیل اتصال این لمینتها به لایه مینای دندان و حفظ سایر سطوح دندان بهجز سطح جلویی، میتوانند برای مدت طولانی با موفقیت در دهان باقی بمانند. همچنین در مقایسه با روکشها، احتمال ایجاد حساسیت دندانی در آنها بسیار کمتر است. از طرفی، مقاومت آنها در برابر سایش و شکستگی نسبت به لمینتهای کامپوزیتی بهمراتب بیشتر بوده و به دلیل نداشتن ریسک تغییر رنگ، میتوانند سالها با اطمینان مورد استفاده قرار گیرند.
مزایای لمینت دندان دکتر چراغیان
لمینت دندان در مطب دکتر چراغیان با رعایت بالاترین استانداردها و کیفیت انجام میشود و مزایای ویژهای برای شما دارد:
- انجام روند بدون معطلی و سریع در مطب، بدون اتلاف وقت و با برنامهریزی دقیق
- هزینه مناسب و منصفانه نسبت به کیفیت بالای خدمات ارائهشده
- استفاده از مواد با کیفیت بالا که ماندگاری و زیبایی لمینتها را تضمین میکند
- برخورداری از دقت، مهارت و تجربه بالا در اجرای لمینتها برای بهترین نتیجه ممکن
- ارائه پشتیبانی قوی و همراهی کامل پس از انجام لمینت برای حفظ سلامت و زیبایی لبخند شما
- هماهنگی کامل با رنگ طبیعی دندانها برای ظاهری کاملاً طبیعی و جذاب
- پوشش موثر لکهها و تغییر رنگهای عمیق حتی در دندانهایی که درمانهای معمولی جوابگو نیست
- بستن فاصلههای کوچک بین دندانها و ایجاد هماهنگی در لبخند
- فرآیندی بدون نیاز به تراش یا تغییر شکل دندانها که از سلامت بافت دندان محافظت میکند
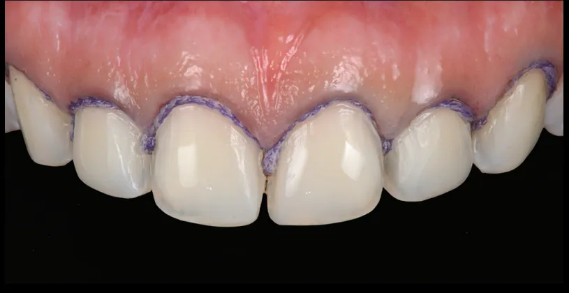
با لمینت دندان در کلینیک دکتر چراغیان، میتوانید از لبخندی زیبا، طبیعی و بادوام لذت ببرید که سالها همراه شما خواهد بود
مراحل انجام لمینت در کلینیک چراغیان
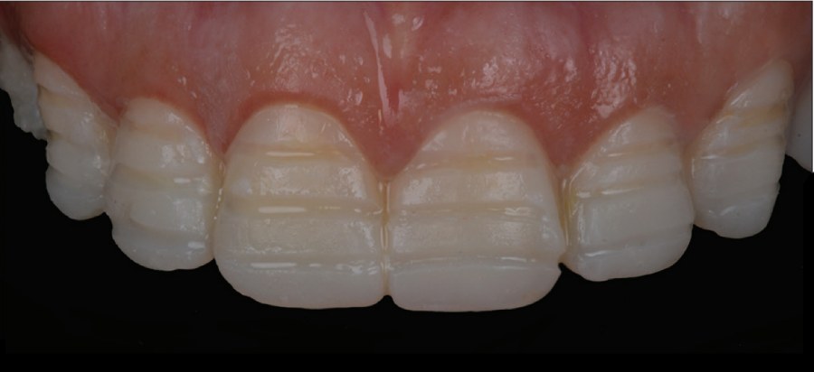
در کلینیک دندانپزشکی دکتر چراغیان قبل از انجام هر گونه اقدامی، دندانهای مراجعه کننده را به صورت کامل معاینه میکنیم. در مرحله معاینه، شرایط و وضعیت کلی دندانها را بررسی میکنیم و تمام آماده سازیهای لازم را برای اجرای لمینت انجام میدهیم.
در بخش آماده سازی دندان برای لمینت چه اتفاقی میافتد؟
ما در بخش آماده سازی دندان برای لمینت تمام مشاورههای لازم و موثر را به مراجعه کننده ارائه میکنیم. در واقع، میخواهیم اطمینان حاصل کنیم که مراجعه کننده نسبت به تمام نکات مهم در خصوص مراقبتهای بعد از انجام لمینت آگاهی دارد و میتواند این روند را بهترین شکل ممکن سپری کنند. همچنین، در مرحله آماده سازی قبل از لمینت جرم گیری و در صورت نیاز تراش دندان برای مراجعه کننده صورت میگیرد.
در مرحله دوم رنگ لمینت انتخاب میشود و سپس آن را قالب گیری میکنیم. در بخش قالب گیری از خمیر مخصوص و باکیفیت برای این کار استفاده میکنیم تا طول عمر و کیفیت نهایی لمینت نیز افزایش پیدا کند. قالب گیری لمینت یکی از مراحل مهم در کلینیک دکتر چراغیان است و این کار زیر نظر متخصص، با توجه به جزئیات و استفاده از مواد باکیفیت این کار صورت میگیرد.
در نهایت، لمینتها را در لابراتور میسازیم و روکشها را روی دندان مراجعه کننده قرار میدهیم. هدف اصلی ما در تمام مراحل لمینت خلق لبخند زیبا برای شماست. به همین جهت مشتاقیم در ادامه به سوالات پرتکرار شما عزیزان پاسخ دهیم.
مراحل لمینت دندان
روند سریع و بدون معطلی درمان در مطب دکتر چراغیان
تصور کنید بعد از یک روز شلوغ کاری و ترافیکهای سنگین حدود 2 الی 3 ساعت برای انجام لمینت دندان در مطب دندانپزشکی معطل شوید.
خوشبختانه ما این چالش را برایتان حل کردیم!
روند درمان لمینت در مطب دکتر چراغیان بهصورت کاملاً منظم و برنامهریزیشده انجام میشود تا بدون هیچگونه تأخیر و معطلی، بهترین خدمات را در سریعترین زمان ممکن دریافت کنید. احترام به وقت بیمار و کیفیت بالای درمان، اولویت اصلی ماست.
طول عمر لمینت دندان چقدر است؟
لمینتهای دندان معمولاً بین ۷ تا ۱۵ سال دوام دارند و پس از این مدت ممکن است نیاز به تعویض پیدا کنند. لمینتهای سرامیکی به دلیل مقاومت بالا و کیفیت بهتر، در صورت مراقبت صحیح، میتوانند ۱۰ تا ۱۵ سال یا حتی بیشتر عمر کنند. البته طول عمر لمینت به میزان سایش یا آسیبهایی که به آن وارد میشود بستگی دارد و گاهی ممکن است نیاز به تعمیرات جزئی یا تعویض زودهنگام باشد.
مراقبت و حفظ لمینتها کاملاً به عادات روزانه شما وابسته است؛ برای مثال، همان رفتاری که به دندانهای طبیعی آسیب میزند، میتواند باعث ترک یا لبپر شدن لمینتها نیز شود
لمینت دندان درمانی دائمی و بدون نیاز به مراقبت نیست، اما با رعایت نکات ساده بهداشتی میتوانید عمر آنها را بهطور قابلتوجهی افزایش دهید.
مراقبت های لازم بعد از لمینت دندان
برای حفظ زیبایی و طول عمر لمینت دندان، مراقبتهای پس از نصب لمینت اهمیت ویژهای دارد. با رعایت نکات ساده زیر میتوانید از آسیب و تغییر رنگ لمینتها جلوگیری کرده و لبخندی سالم و درخشان داشته باشید:
- رعایت بهداشت دهان و دندان: مسواک زدن حداقل دو بار در روز با خمیر دندان فلورایددار و استفاده روزانه از نخ دندان به حذف پلاک و باکتریها کمک میکند و از پوسیدگی دندانها و آسیب به لمینت جلوگیری میکند.
- مراجعه منظم به دندانپزشک: معاینات دورهای و تمیز کردن حرفهای دندانها توسط دندانپزشک، سلامت دهان و کیفیت لمینتها را تضمین میکند
- پرهیز از غذاهای سخت و چسبناک: مصرف نکردن مواد غذایی سخت مثل یخ و آبنباتهای سفت و همچنین اجتناب از خوراکیهای چسبناک، از ترکخوردگی و شل شدن لمینت جلوگیری میکند.
- اجتناب از استفاده دندانها به عنوان ابزار: استفاده از دندانها برای باز کردن بستهها یا باز کردن گرهها، میتواند به لمینت آسیب جدی وارد کند.
- محدود کردن مصرف مواد رنگدانهدار: کاهش مصرف قهوه، چای، شراب و نوشیدنیهای رنگی، از تغییر رنگ لمینتها جلوگیری میکند.
- نوشیدن آب کافی: آب به حفظ رطوبت دهان و حذف باکتریها کمک میکند و سلامت کلی دهان را بهبود میبخشد
- ترک سیگار و کاهش مصرف دخانیات: برای جلوگیری از لکهدار شدن لمینت و حفظ سلامت لثهها، ترک یا کاهش مصرف دخانیات ضروری است.
- استفاده از گارد دندان در صورت نیاز: اگر دندانهای خود را هنگام خواب میسایید یا فشار میدهید، استفاده از گارد دندان شبانه به حفظ سلامت لمینت کمک میکند.
قیمت لمینت دندان 1404
هزینه انجام و قیمت لمینت سرامیکی برای هر دندان مبلغی بین 10 تا 15 میلیون تومان است.
سوالات متداول لمینت دندان
طول عمر لمینت دندان چقدر است؟
طول عمر لمینت، وابسته به عوامل مختلفی بخصوص مراقبتهای پس از انجام آن است. اما به طور کلی، بین 10 تا 20 سال است.
آیا مراقبتهای بعد از لمینت دندان سخت است؟
خیر. مراقبتهای پس از لمینت به کمی صبر و تلاش منظم نیاز دارد. به عنوان مثال، مسواک زدن پس از هر وعده غذایی میتواند طول عمر لمینت را افزایش دهد.
چگونه میتوانم بدون دردسر مسیر لمینت دندان را پشت سر بگذارم؟
اگر در روند لمینت توصیههای دندانپزشک را جدی بگیرید و رعایت کنید دوران نقاهت را به آرامی پشت سر میگذارید.
لمینت دندان بهتر است یا کامپوزیت ؟
لمینت دندان دوام و زیبایی طبیعیتری دارد و برای اصلاح مشکلات جدیتر مناسبتر است، اما کامپوزیت هزینه کمتر و روند سریعتری دارد و برای اصلاحهای جزئی گزینه خوبی است. انتخاب بستگی به نیاز و بودجه شما دارد.