قبل از اینکه ایمپلنت انجام بدم، همیشه از غذا خوردن جلوی دیگران خجالت میکشیدم. اما حالا با ایمپلنتها، با خیالت راحت هر چیزی که بخوام میخورم؛ هم راحت، هم با اعتمادبهنفس.
این تجربهای است که امروزه هزاران نفر بعد از انجام ایمپلنت دندان بیان میکنند. از دست دادن دندان، مسئلهای رایج است و بیش از نیمی از مردم حداقل یک دندان از دسترفته دارند؛ موضوعی که بهطور مستقیم روی ظاهر، اعتمادبهنفس و حتی توانایی غذا خوردن تأثیر میگذارد. اما پیشرفتهای دندانپزشکی باعث شده ایمپلنتها طبیعیترین و راحتترین روش برای بازگرداندن لبخند و عملکرد دهان باشند و کیفیت زندگی بسیاری را تغییر دهند.
اگر هنوز برای ایمپلنت تردید دارید، بهتر است با عوارض ایمپلنت نکردن دندان آشنا شوید تا تصمیم آگاهانهتری بگیرید.
فهرست مطالب
Toggle10 عوارض ایمپلنت نکردن دندان
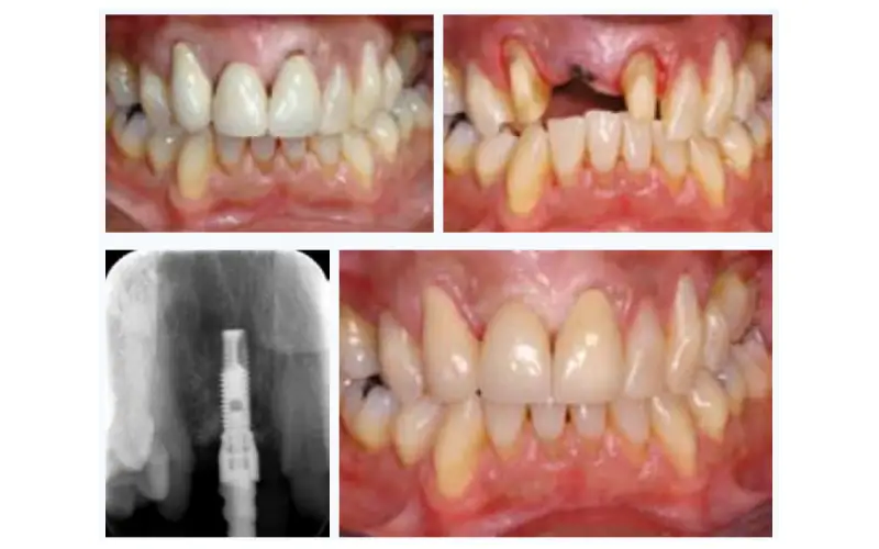
ایمپلنتها میتوانند یک دندان یا چند دندان را جایگزین کنند، پایداری و استحکام دستدندانها را افزایش دهند و با توزیع درست فشار جویدن، مانع تحلیل استخوان فک شوند. به همین دلیل است که بسیاری از مراجعین بعد از ایمپلنت میگویند: «کیفیت زندگیم کاملاً تغییر کرد.»
در این بخش، به عواقب ایمپلنت نکردن دندان میپردازیم؛ مواردی که بسیاری از افراد از آن بیاطلاعاند اما میتواند سلامت دهان و حتی چهره را در طول زمان تحتتأثیر قرار دهد.
| عوارض ایمپلنت نکردن دندان | توضیح مختصر |
| کاهش اعتمادبهنفس | خالی بودن جای دندان ظاهر لبخند و اعتمادبهنفس را کاهش میدهد. |
| جابهجایی دندانها | دندانهای کناری بهمرور به فضای خالی حرکت میکنند. |
| از بین رفتن حس طبیعی دندان | عملکرد دهان غیرطبیعی و ناهماهنگ میشود. |
| سختی در غذا خوردن و گفتار | جویدن غذا و تلفظ برخی کلمات دشوار میشود. |
| تغییرات چهره و پیری زودرس | تحلیل فک باعث جمعشدن صورت و پیرتر دیده شدن میشود. |
| تحلیل استخوان فک | نبود ریشه دندان، استخوان را به سرعت تحلیل میبرد. |
| افزایش استرس | ظاهر نامناسب و مشکلات عملکردی استرس را بیشتر میکند. |
| پوسیدگی دندانهای مجاور | گیر افتادن غذا و فشار نامتعادل باعث پوسیدگی بیشتر میشود. |
| سوءهاضمه و مشکلات گوارشی | جویدن ناقص غذا دستگاه گوارش را تحتفشار میگذارد. |
| بههمریختگی بایت و درد فک | فشار نابرابر روی فک باعث درد، صدا دادن و سردرد میشود. |
این موارد فقط خلاصهای از مشکلات ایمپلنت نکردن دندان هستند. برای اینکه بدانید هر کدام از این مشکلات چطور ایجاد میشود و چگونه میتوان از آن جلوگیری کرد، ادامه مطلب را حتما مطالعه کنید.
اگر ایمپلنت نکنید…
1- کاهش اعتمادبهنفس و اختلال در عملکرد دهان
از دست دادن دندان باعث ایجاد خلأ در دهان میشود که هم ظاهر لبخند را تحت تاثیر قرار میدهد و هم جویدن و صحبت کردن را مشکل میکند. این مسائل باعث کاهش اعتمادبهنفس و اضطراب اجتماعی میشوند. نبود دندان فشار بیشتری روی دندانهای باقیمانده وارد میکند و عملکرد دهان را مختل میکند.
یا به قول یکی از مراجعینم :
سالها بود که حتی جلوی نزدیکترین افراد هم خجالت میکشیدم و احساس کمبود اعتمادبهنفس داشتم. ایمپلنتها نه تنها اعتمادبهنفسی که از دست داده بودم را به من بازگرداندند، بلکه آزادی لبخند زدن و خندیدن را هم دوباره به من دادند.
2- افزایش احتمال جابهجایی دندانها
وقتی دندانی از دست میرود و ایمپلنت جایگزین نمیشود، فضای خالی باعث میشود دندانهای مجاور به سمت این فضا حرکت کنند و جابهجا شوند. این جابهجایی باعث بههمریختگی ردیف دندانها، اختلال در جویدن و مشکلات در سلامت دهان میشود. ایمپلنت با پر کردن این فضا، از حرکت غیرطبیعی دندانها جلوگیری میکند و نظم دهان را حفظ میکند.
3- دور شدن از حس داشتن دندان طبیعی
اگر ایمپلنت نکنید، همچنان با احساس ناخوشایند و مصنوعی بودن دندانهایتان زندگی خواهید کرد. این یعنی هنگام خوردن غذا و صحبت کردن، دیگر حس طبیعی و راحتی که دندانهای واقعی به شما میدهند را تجربه نخواهید کرد. این نارضایتی میتواند باعث کاهش کیفیت زندگی، کاهش اعتمادبهنفس و احساس بیقراری در موقعیتهای اجتماعی شود که همه ناشی از نبود حس واقعی دندان در دهان است.
یکی از مراجعین قدیمی و خوبمان میگفت :
بعد از ده سال استفاده از دستدندان جزئی، آماده بودم که روش درمانی جایگزینی را امتحان کنم و این بهترین تصمیمی بود که در اون دوره گرفته بودم.
4- سختی در غذا خوردن و اختلال در گفتار
همچنان با مشکلاتی مانند سختی در جویدن غذا و اختلال در تلفظ کلمات مواجه خواهید بود. نبود دندانهای جایگزین باعث میشود نتوانید بهراحتی غذاهای مورد علاقهتان را بخورید و صحبت کردن برایتان ناخوشایند و محدود شود. این مشکلات نهتنها کیفیت زندگی روزمره را کاهش میدهند، بلکه میتوانند به کاهش اعتمادبهنفس و اجتناب از حضور در جمعهای اجتماعی منجر شوند.
5- تشدید تغییرات چهره و ایجاد ظاهر پیرتر
با گذشت زمان تحلیل استخوان فک و کاهش حجم صورت تشدید میشود که باعث فرو رفتگی گونهها و چینوچروکهای زودرس میگردد. این تغییرات باعث میشوند چهره شما پیرتر و نامتناسبتر به نظر برسد و جوانی و شادابی طبیعی صورت را از دست بدهید. ایمپلنت نکردن، عملاً یعنی از دست دادن فرصت حفظ ظاهر جوان و طبیعی خود.
6- کاهش تراکم و تحلیل شدید استخوان فک
نبود تحریک طبیعی ریشه دندان باعث تحلیل و کاهش تدریجی استخوان فک میشود. این فرآیند نهتنها باعث تضعیف ساختار استخوانی فک میگردد، بلکه ممکن است مشکلات جدیتری مانند تغییر شکل صورت و کاهش استحکام دندانهای باقیمانده را به همراه داشته باشد. بنابراین، عدم جایگزینی دندان با ایمپلنت به معنای از دست دادن سلامت و استحکام استخوان فک است.
7- افزایش استرس و کاهش آرامش روانی
نگرانیهای ناشی از ظاهر نامناسب دندانها و مشکلات جویدن میتواند به افزایش استرس و کاهش اعتمادبهنفس منجر شود. این فشارهای روانی ممکن است کیفیت زندگی شما را کاهش دهد و در موقعیتهای اجتماعی باعث احساس شرمندگی و اضطراب شود. بهعبارت دیگر، عدم انجام ایمپلنت یعنی از دست دادن فرصتی برای داشتن آرامش ذهنی و زندگی بدون دغدغه.
یکی از مراجعین جوان و ورزشکارم میگفت :
یک تصادف رانندگی باعث شد تقریباً یکسوم دندانهایم را از دست بدهم. ایمپلنتها به من انگیزه و تمایل دوباره برای بهترین بودن را بازگرداندند.
8- افزایش پوسیدگی و عفونت دندانهای مجاور
فضای خالی ایجاد شده بین دندانها محل تجمع باکتریها و باقیماندن مواد غذایی میشود که خطر پوسیدگی و عفونت دندانهای مجاور را بهطور چشمگیری افزایش میدهد. این وضعیت نه تنها سلامت دندانهای سالم کناری را تهدید میکند، بلکه ممکن است نیاز به درمانهای پیچیدهتر و پرهزینهتری را در آینده ایجاد کند. به این ترتیب، از دست دادن فرصت ایمپلنت یعنی از دست دادن محافظت از سلامت کل دهان.
9- کاهش توانایی جویدن و سوءهاضمه
اگر ایمپلنت نکنید، جویدن غذا ناقص و ناکارآمد میشود که باعث میشود غذا بهدرستی خرد نشود. این مسئله میتواند منجر به سوءهاضمه، نفخ و سایر مشکلات گوارشی شود. بنابراین، عدم جایگزینی دندان باعث کاهش کیفیت تغذیه و سلامت کلی بدن میگردد. به عبارت دیگر، با ایمپلنت نکردن، فرصت داشتن دستگاه گوارش سالمتر و زندگی راحتتر را از دست میدهید.
10- بههمریختگی اکلوژن (بایت) و درد فک
اگر ایمپلنت نکنید، نبود دندان باعث بههمریختگی نظم طبیعی بایت (اکلوژن) میشود و فشار نامتوازن روی دندانها و فک ایجاد میکند. این وضعیت میتواند منجر به درد فک، سردردهای مزمن و مشکلات مفصل گیجگاهیفکی شود. بنابراین، ایمپلنت نکردن یعنی از دست دادن تعادل عملکردی دهان و تجربه دردهای مزمن و ناراحتیهای طولانیمدت.
اگر دندان از دست رفته خود را جایگزین نکنید چه اتفاقی میافتد؟
بیایید در مورد اینکه اگر دندان از دست رفته خود را جایگزین نکنید چه اتفاقی میافتد صحبت کنیم. همچنین گزینههای جایگزینی دندان از جمله ایمپلنت، بریج، دندان مصنوعی جزئی و فلیپر را بررسی کنیم.
دلایل عدم کاشت ایمپلنت توسط مراجعین
- هزینه بالای درمان: بسیاری از افراد بهدلیل هزینه نسبتا زیاد ایمپلنت از انجام آن صرفنظر میکنند.
- ترس از جراحی و درد: نگرانی از درد و عمل جراحی باعث میشود برخی بیماران ایمپلنت را انتخاب نکنند.
- شرایط نامناسب استخوان فک: برخی افراد به دلیل تحلیل شدید استخوان فک یا مشکلات پزشکی قادر به انجام ایمپلنت نیستند.
- نداشتن آگاهی کافی: عدم اطلاع درست از مزایا و فرآیند ایمپلنت باعث بیاعتمادی و تردید میشود.
- مشکلات سلامتی عمومی: بیماریهایی مانند دیابت کنترلنشده یا مشکلات سیستم ایمنی ممکن است مانع انجام ایمپلنت شوند.
- ترجیح به روشهای سنتی: برخی افراد به دلیل عادت یا باورهای شخصی به روشهای قدیمیتر مثل دستدندان متحرک تمایل دارند.
- زمان طولانی درمان: مدت زمان چند ماهه برای درمان ایمپلنت، برای برخی افراد ناخوشایند و باعث میشود از شروع آن منصرف شوند.
سوالات متداول عوارض ایمپلنت نکردن دندان
اگر دندانی را ایمپلنت نکنم، آیا دیگران متوجه میشوند؟
بله، در بسیاری از موارد. خالی بودن جای دندان مخصوصاً در ناحیه لبخند، ظاهر لبها و فرم صورت را تغییر میدهد. همچنین با تحلیل استخوان، این تغییرات با گذشت زمان مشخصتر میشود.
آیا نداشتن دندان نسبت به دندان طبیعی قدرت جویدن را کم میکند؟
قطعاً. از دست دادن حتی یک دندان، فشار جویدن را به دندانهای کناری منتقل میکند و باعث ساییدگی، لق شدن و کاهش توان جویدن میشود. در درازمدت ممکن است حتی غذاهای معمولی هم سختتر جویده شوند.
اگر مدتها ایمپلنت نکنم، چه اتفاقی برای استخوان فک میافتد؟
استخوان فک دقیقاً مانند عضله است؛ اگر استفاده نشود تحلیل میرود. پس از کشیدن دندان، استخوان ظرف چند ماه شروع به کاهش حجم میکند و این تحلیل میتواند دائمی شود. هرچه بیشتر صبر کنید، ایمپلنت سختتر و هزینهبرتر میشود.
آیا خالی ماندن جای دندان درد دارد؟
ممکن است ابتدا درد خاصی احساس نکنید، اما با گذشت زمان مشکلاتی مثل درد مفصل فک، فشار روی دندانهای کناری، حساسیت و حتی سردرد ظاهر میشود. همچنین فاصله دندانها تغییر میکند و مشکلات جدید ایجاد میکند.
آیا ایمپلنت نکردن دندان هزینه را کم میکند؟
در کوتاهمدت شاید، اما در بلندمدت هزینهها بیشتر میشود.
عدم جایگزینی دندان منجر به تحلیل استخوان، جابهجایی دندانها، نیاز به ارتودنسی، نیاز به پیوند استخوان و آسیب به دندانهای مجاور میشود.
برخی منابع
drkhazian.com/consequences-not-having-implants
www.denvilledentalgroup.com/the-hidden-risks-of-waiting-too-long-for-dental-implants





